A review directed by scientists from the Gallery for Naturkunde in Berlin uncovered the development of solidification designs in the spines of four-legged vertebrates. Antoine Verrière and his partners had
Detecting frameworks are becoming increasingly common in many aspects of our lives, including medical care, autonomous vehicles, and touchless human-PC interaction.Be that as it may,
A clinical examination group from the College of Hong Kong (HKUMed) has utilized amniotic liquid cells obtained during 16–24 weeks of pregnancy as an original example type for RNA-sequencing in
A high-fat eating routine might battle low platelet counts in the blood brought about by chemotherapy, as per fundamental exploration, which recommends that a ketogenic
Several scientists at the Jackson Laboratory (JAX) are participating in a competitive research program involving several top research organizations to focus on senescent cells.Senescent cells
Intermittent fasting may aid in weight loss, lowering the risk of diabetes complications. While intermittent fasting can be done safely, people with diabetes may be at risk of hypoglycemia and
Researchers from the Huge High Height Air Shower Observatory (LHAASO) have introduced generally 1.5 long stretches of observational information, ascertaining new cutoff points on the
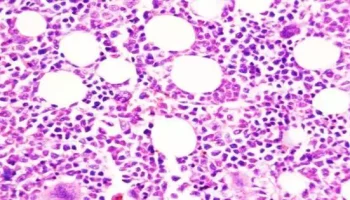
Scientists at The College of Texas MD Anderson Malignant Growth Community have found a clever immunotherapy mix, focusing on designated spots in both lymphocytes and myeloid silencer cells, that effectively