Scientists from EPFL and ETH Zurich, cooperating with the Global Board of the Red Cross (ICRC) and Container Khalifa University (Qatar), have fostered a program that can create population thickness
Examiners play recognized a clever part for an intracellular dealing with pathway managing epidermal formative cycles, which could act as a future helpful objective for
Scientists from Western universities have shown that a fireball that began at the edge of the planetary group was logically made of rock, not ice, testing long-held convictions about how
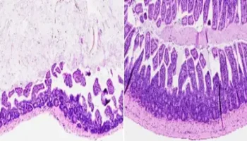
A medication created by Salk Foundation scientists behaves like an expert reset switch in the digestive organs. The compound, called FexD, has recently been found
Engineers at the College of Illinois in Chicago have fabricated a machine that catches carbon from vent gas and converts it to ethylene. Surprisingly, the
Humans are home to nearly 300 parasitic worm species and over 70 single-celled parasites. Over a billion people were found to be infected with helminths in 2020 alone, causing chronic
Huntington's disease (HD) is a neurological problem that causes moderate loss of development, coordination, and mental capability. It is brought about by a change in
Acoustic correspondence plays had a vital impact on the development of creatures, particularly vertebrates and bugs, going from mating to advance notice calls and, surprisingly,
A robust battery separator is constructed using nanomaterials derived from seaweed by a team lead by Bristol, opening the door for cleaner and more effective energy storage. One of the