A creep cycle can occur when a metal is concentrated far beneath its yield strength at elevated temperatures.Creep, the time-subordinate twisting of materials, is liable for an extraordinary number of
Science is increasingly utilizing the tricks plants can perform with photosynthesis: driving compound reactions that run inefficiently or do not happen suddenly with light energy.This
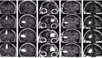
The actual cerebrum is a major impediment to treating brain disease, not the malignant growth. The blood-mind boundary is a significant part of the cerebrum's
Specialists have created a way for machines to recognize all of the exciting bends in the road in a mind-boggling information framework quickly, much like a mouse dashing through a
A Tohoku College scientist has expanded the exhibition of a high-power electrodeless plasma engine, drawing us one step closer to more profound investigations into space.
Prof. Wang Shutao of the Chinese Institute of Sciences' Specialized Foundation of Physical Science and Science (TICP) and Prof. Liu Huan of Beihang College uncovered
A huge report driven by Lund College in Sweden has demonstrated the way that individuals with Alzheimer's sickness can now be recognized before they experience any side effects. It is
Gamma-beam explosions (GRBs) have been recognized by satellites circling Earth as glowing blazes of the most fiery gamma-beam radiation, enduring milliseconds to many seconds. These
A global gathering of geologists has shown with virtual experience that immense magma emissions can start further beneath the World's surface than recently accepted. Such flood basalt ejections have caused