South Australia's Naracoorte Caverns is one of the world's best fossil locales, containing a record crossing the greater part of 1,000,000 years. Among the remaining parts saved in layers of
A group of scientists at the Chinese Institute of Sciences, working with a partner from Peking College, have tracked down proof of a layered subsurface
Meenesh Singh and his team at the University of Illinois Chicago have found a means to completely transform the carbon dioxide extracted from industrial exhaust into ethylene, a crucial component
Scientists explore the potential uses of integrated unmanned aerial vehicles and mobile robots for the public good. The potential of unmanned aerial vehicles (UAVs) to
A review led at the State College of Campinas (UNICAMP) in Brazil has recognized vagrant qualities in wild sugarcane (Saccharum spontaneum), an animal type with
Trees have for some time been known to cradle people from the most awful impacts of environmental change by pulling carbon dioxide from the air. Presently, new exploration shows exactly
Patterns of an eating routine that copies fasting seem to lessen indications of Alzheimer's in mice hereditarily designed to foster the disease, as per another
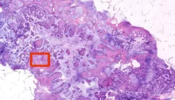
Medication has progressed decisively during the last 100 years. Yet, with regards to getting biopsy results, very little has changed. Consider, for instance, what happens
Scientists have fostered a metasurface gadget that can show three kinds of pictures relying upon brightening light. The three-channel gadget could be utilized as an anti-counterfeiting measure or as a