Researchers from Novel York University have developed a new crystal form of deltamethrin, a typical insecticide used to combat malaria, by a straightforward heating and cooling procedure. This insecticide is
Since the underlying disclosure of what has turned into a rapidly developing group of two-layered materials — called MXenes — in 2011, Drexel College scientists
A significant part of the immunizations safeguarding individuals against SARS-CoV-2 infection and its variations are lipid nanoparticles, or LNPs. These roundabout particles convey restorative mRNA
A new holographic microscope allows scientists to see through the skull and image the brain. The new label-free deep-tissue imaging with the wave correction algorithm retrieves the fine neural network
In another paper, researchers from the University of California, Irvine explain how precise genome altering specialists have enabled precise quality treatment and illness salvage in
Another review driven by the Institut de Ciències del Blemish (ICM-CSIC) in Barcelona and the Institució Catalana de Recerca i Estudis Avançats (ICREA) has uncovered
Academic partner Miriam Klein-Flügge and associates checked out mind network and emotional wellness information from almost 500 individuals. Specifically, they took a gander at the network of the amygdala—a mind
Another focus by UT Southwestern analysts proposes that fat cells, or adipocytes, that fill in nearness to bosom diseases, can move into other cell types
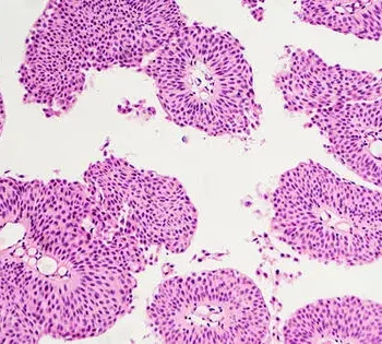
Mount Sinai researchers have made two important discoveries about the mechanism by which bladder cancer cells foil attacks from the immune system. The research, published in Cancer Cell in September, could lead