Dr. Sabina Quader, senior examination researcher of the Advancement Focal Point of NanoMedicine, along with Dr. Joachim van-Guyse, collaborator teacher at Leiden College, has distributed a survey article named "Bioresponsive
"We put nanotubes within microbes," says teacher Ardemis Boghossian at EPFL's School of Essential Sciences. "That doesn't sound extremely thrilling on a superficial level, yet
For example, nanomolding of topological nanowires could speed the revelation of new materials for applications, for example, quantum processing, microelectronics, and clean-energy impetuses, as indicated
In a simulation study using the latest U.S. statistics for stage 1 hypertension, researchers found that lifestyle changes to reduce systolic blood pressure to below 130 mm Hg may prevent
The utilization of a wide range of anti-toxins in mice with harmful melanoma, a forceful type of skin disease, sped up their metastatic bone development,
Patients with high-risk melanoma who received the immunotherapy drug pembrolizumab both before and after surgery to eliminate harmful tissue had a significantly lower risk of
There are presently no viable medicines for the central side effects of mental imbalance range jumble (ASD), like troubles with associating and imparting. Another review utilizes a PC-based protein connection
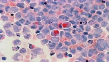
Researchers at Sanford Burnham Prebys, led by Ze'ev Ronai, Ph.D., have shown for the first time that inhibiting a key metabolic enzyme selectively kills melanoma
Designing analysts have created new high-power electronic gadgets that are more energy-effective than past advances. The gadgets are made conceivable by a novel method for
Hiroshima College researchers are getting closer to understanding how floods deprive plants of oxygen — and how to design hardier yields. Flooding is a worldwide gamble, as per the World