A small, but one-of-a-kind research study led by scientists from Mount Sinai's Seaver Autism Center for Research and Treatment and published online in Human Genetics and Genomic Advances suggests that
Because of the vulnerability of the planning of immunization endorsement toward the start of the COVID-19 pandemic, policymakers battled to find the best relief measures.
Researchers have developed a new moisture-driven electricity generation device made of a thin layer of fabric, sea salt, carbon ink, and a special water-absorbing gel. The device works by keeping
A cell's privileged insights can be disclosed by its surface, enlivened with tens to a huge number of particles that assist invulnerable cells in deciding
Cedars-Sinai examiners have fostered an investigational treatment utilizing support cells and a defensive protein that can be conveyed past the blood-cerebrum obstruction. This consolidated undeveloped
Assuming you are accustomed to getting customary wellbeing tests, you may be familiar with endoscopes. The endoscope is an imaging gadget comprising a camera and a light assist connected to
A group of specialists from the Instituto Gulbenkian de Ciência (IGC) uncovered that cells of the cerebrum can recognize the presence of jungle fever parasites
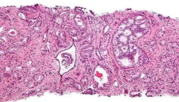
A Northwestern Medicine study has distinguished a sub-atomic component that manages the movement of emasculation-safe prostate malignant growth, as per discoveries distributed in the journal
Changes are the unrefined substance of development. For instance, a solitary change in a DNA base pair can make a protein particle lose its capability, with possibly significant consequences for