Lithium-sulfur batteries (LSBs) have a greater capacity for energy storage. However, difficulties like as lithium polysulfides and lithium dendrite growth cause capacity loss and pose safety concerns. Researchers have created
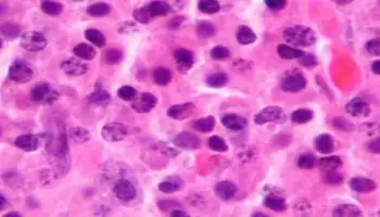
All malignant growth cells—even those inside a similar growth—contrast from one another and shift in the direction of malignant growth sickness. Researchers at Heidelberg College
With Amazon expecting to cause 10,000 conveyances with drones in Europe this year and Walmart wanting to extend its robot conveyance administrations to 60,000 extra homes this year in the
Actuators, which convert electrical energy into movement or power, assume a vital role in our day-to-day existence but frequently slip by everyone's notice. Delicate material-based
Individuals who have encountered huge muscle harm have new expectations because of Evolved.Bio, a startup that has created imaginative innovation that can recover muscle tissue
CRAM scientists at the College of Galway, along with associates at the Middle for Sub-atomic Nanometrology at the College of Strathclyde, have distributed work uncovering the inward functions of cells.
The creation of organic substances for medication utilizing hereditarily designed yeast cells shows new encouraging outcomes in fundamental exploration from a worldwide group of scientists.
A great many individuals with typical circulatory strain might be misclassified as having a pulse that is too high due to ill-advised positioning when estimations
As of late, an exploration group has advanced an interesting way to deal with upgrading the effectiveness of solar-powered cells. Their emphasis on the potential antimony trisulfide (Sb2S3) as a