Research has shown that generous parental leave policies can have a positive impact on mental health, particularly for mothers. Parental leave policies that allow for extended time off from work
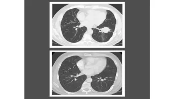
Researchers at the National Institutes of Health (NIH) have found that patients with low-grade lymphomatoid granulomatosis who receive the immunotherapy interferon alfa-2b can live for
The Earth was so cold many millions of years ago that the majority of its surface was covered in ice. But it's possible that the hard freeze was sludgier than
Using the strength of the human immune system, a team of engineers at the University of California, San Diego, has created a biodegradable polymer system
Depending on how it is defined precisely, multimorbidity, or the co-existence of two or more chronic conditions, has varying prevalence. Additionally, many disease combinations have higher total health care costs
Swansea and Grenoble experts have collaborated to create a workable method for producing green hydrogen using long-lasting catalysts. The researchers are now hoping that their
Each year, approximately 1 in 5 Americans withstand a traumatic brain injury brought on by a fall, car accident, or sports injury, which can result in both short- and long-term