In "The Princess and the Pea," a fairy tale by Hans Christian Andersen published in 1835, the princess is praised for her sensitivity to a pea positioned under 20 mattresses
The eighth billionth human was born on November 15, 2022. Climate change, natural resource depletion, soil erosion, and the use of fossil fuels in agriculture
Studying the biological underpinnings of psychiatric disorders is extremely challenging, in part because it is challenging to obtain brain cells from living individuals for laboratory
Researchers at the University of Surrey have developed software that can confirm how much data an AI has been fed from an organization's digital database, which is able to help
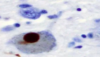
According to research reported in the Lancet Neurology journal, a method that recognizes the accumulation of abnormal protein deposits connected to Parkinson's disease may help
Alexander Bick, MD, PhD, co-leads a group of international biomedical researchers. Researchers at Vanderbilt University Medical Center have developed a new method to gauge the
While some classical computers have built-in error correction using bits as their memory, quantum computers will also require error correction mechanisms using the vastly more sensitive qubits in order to
The discovery of a root anatomy gene has the potential to significantly enhance the resilience of corn crops. The gene, known as ZmCIPK15, is responsible
Up until recently, it was believed that grazers, or fish that eat algae and other debris, kept reefs healthy as opposed to corallivores, which weaken the structure of the reef.